График работы:
пн-сб с 9:00 до 18:00, вс — выходной
ООО "DA VINCI INVEST"
ООО «Да Винчи Инвест»
ОГРН 1173525021482
ИНН/КПП 3525404496/352501001

Юридический адрес: 160000, г. Вологда, ул. Южакова, д.4, оф.401

Не является публичной офертой. Имеются противопоказания. Проконсультируйтесь со специалистами.

График работы:
пн-сб с 9:00 до 18:00, вс — выходной
Назад

Элайнеры

Элайнеры linovax

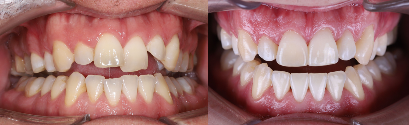
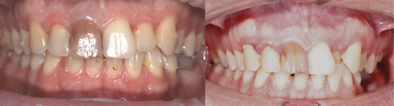
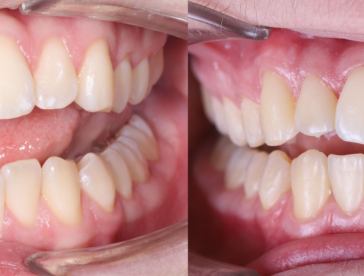
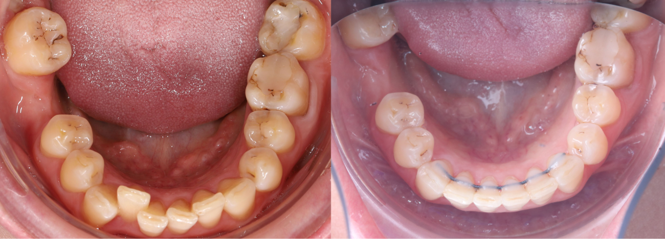
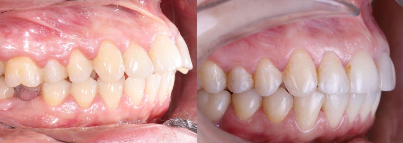
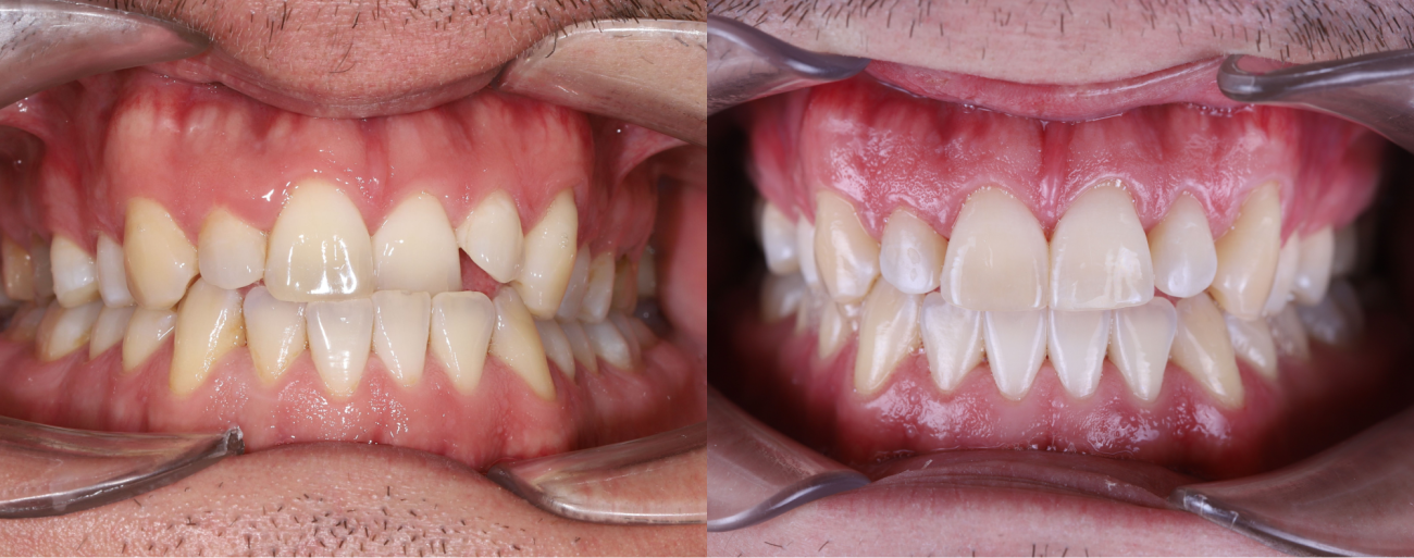
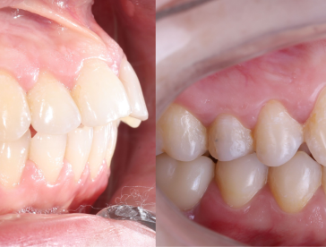
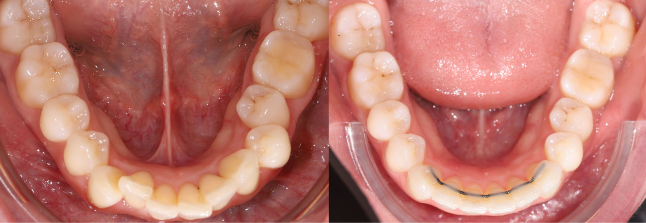
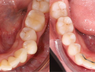
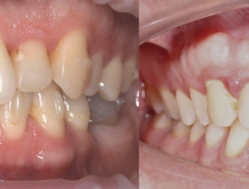
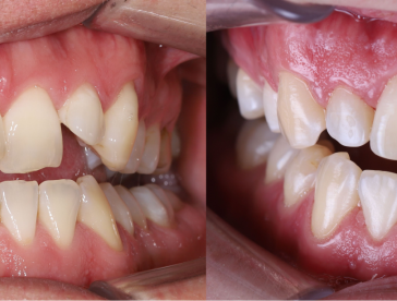
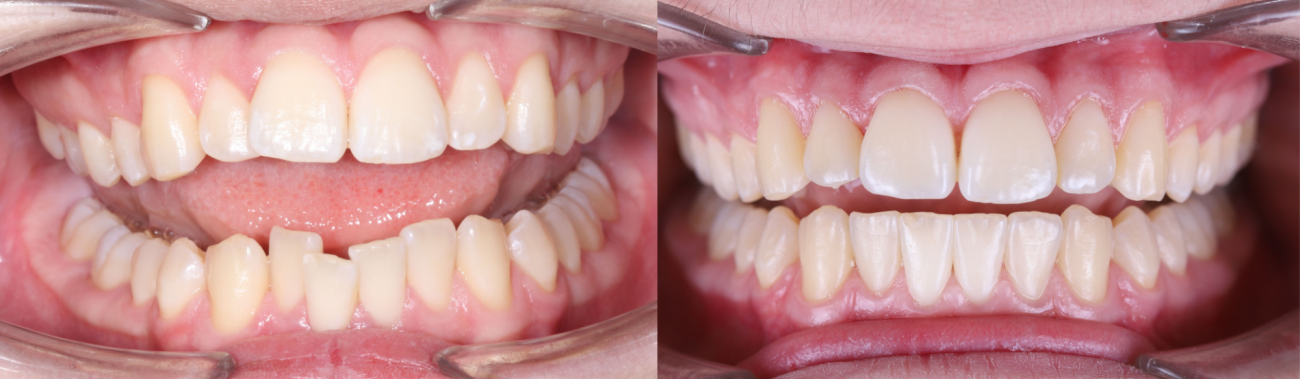
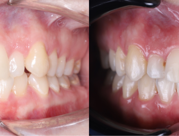
Это индивидуальный набор прозрачных съемных капп, которые используются для выравнивания зубов и исправления неправильного прикуса пациента. Мы изготавливаем элайнеры из высококачественного прозрачного пластика Prismlab. За счет плотного прилегания к зубам и создания мягкого давления происходит постепенное перемещение зубов в нужное положение.

Личный кабинет

Преимущества элайнеров linovax

• Прозрачность. Элайнеры почти не заметны, что делает их идеальным выбором для людей, которые хотят исправить прикус, не привлекая к себе лишнего внимания

• Возможность снять на время еды, чистки зубов и особых случаев, что делает их более удобными в использовании, чем традиционные брекеты

• Комфорт. Элайнеры изготовлены из мягкого пластика, который не раздражает десны и не причиняет дискомфорта

• Эффективность. Элайнеры могут эффективно исправить различные проблемы с прикусом, такие как скученность зубов, неправильный прикус и диастема (щель между зубами)

• Гигиена. Уход за полостью рта значительно облегчен, по сравнению с уходом за зубами при ношении брекет системы, за счет того, что на период чистки зубов элайнеры можно снять 

Помимо преимуществ элайнеры требуют дисциплины: для достижения оптимального результата необходимо носить каждый элайнеры в течение рекомендуемого времени (22 часа в сутки). А также своевременно менять каждый последующий элайнер в соответствии с этапом лечения - замена элайнера происходит один раз в 14 (или 10) дней согласно рекомендации лечащего врача 

Как начать работу с использованием системы элайнеров linovax?

Необходимо пройти простой процесс регистрации в личном кабинете c подтверждением электронной почты. В случае затруднений обратиться по телефону +7 950 253 06 65, а также в мессенджерах WhatsApp или Telegram – все расскажем и покажем.

После регистрации в личном кабинете будет доступна серия видеоуроков - руководство по использованию системы элайнеров linovax от фиксации аттачментов и рекомендаций пациентам до особенностей применения дополнительных элементов (таких как эластики, кнопки, чейны для деротации, минивинты ) и деталей окончания ортодонтического лечения.

Так же на весь период прохождения лечения на системе элайнеров linovax доступна своевременная поддержка и консультирование от наших клинических специалистов опытных врачей ортодонтов работающих с применением элайнеров

Личный кабинет

Как со стороны врача выглядит процесс работы с использованием системы элайнеров linovax?

1.Заполняем карточку пациента в личном кабинете. Вносим данные в анкету и план лечения – что хотим получить в финале, так же есть возможность добавить особые пожелания к перемещению зубов. 

Далее подгружаем всю необходимую диагностическую информацию: фотопротокол зубов и лица пациента, данные рентгенологических исследований, а также сканы зубных рядов* (если в клинике нет сканера, подойдут силиконовые оттиски зубных рядов и регистрат прикуса). Если имеются дополнительные диагностические данные – их так же можно добавить (заключения смежных специалистов, дополнительные исследования и т.д.) 

*для начала работы необходима полная санация полости рта (в случае необходимости удаления отдельных зубов – есть возможность их удаления на этапе согласования виртуального плана)

2.После того как вся необходимая информация отправлена и проверена модератором, наша лаборатория приступает к созданию виртуального плана. Когда виртуальный план готов, врач может с ним ознакомиться, при необходимости есть возможность внести изменения используя чат со службой поддержки

3.После согласования и утверждения виртуального плана запускается процесс производства индивидуальной системы элайнеров linovax. Далее комплект элайнеров (включающий все необходимое для врача и пациента) будет доставлен до клиники курьерской службой

4.После установки аттачментов, обучения пациента особенностям ношения и ухода за системой элайнеров остается только наблюдать пациента 1 раз в 2 месяца – всю остальную работу по выравниванию зубов сделают элайнеры

Контакты

linovax@yandex.ru
WhatsApp
Telegram

Мы на связи с 9:00 до 21:00